
Diseño de Sonrisa Precio
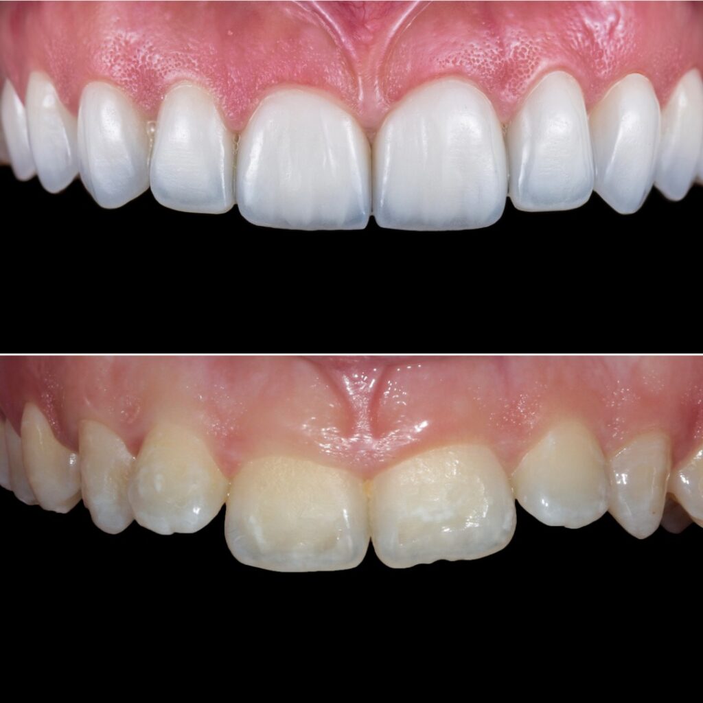
El diseño de sonrisa va más allá de simplemente dientes; también mejora la autoestima y confianza al sonreír. Existen diferentes tipos de diseño y así mismo sus precios. Los vamos a ver a continuación
¿Cuál es el precio del diseño de sonrisa en Bogotá?
El precio de un diseño de sonrisa en Bogotá oscila entre $1.600.000 y $25.000.000.

Nuestros precios
| Tipo de diseño | Precio |
|---|---|
| Diseño de Sonrisa en Resina | $1.600.000 |
| Diseño de Sonrisa en Cerámica | $10.000.000 |
| Diseño de Sonrisa con Lentes cerámicos | $12.000.000 |
¿Es necesario invertir en un diseño de sonrisa?
Sí, porque una sonrisa cuidada va más allá de lo estético: mejora tu autoestima, salud bucal y presencia personal. No se trata solo de blanquear dientes, sino de alinear forma, color y proporción con tu rostro, logrando una armonía real.
Además, un diseño bien hecho previene problemas futuros y refuerza tu confianza en cada conversación o fotografía. Invertir en tu sonrisa es invertir en ti: en tu bienestar, tu imagen y tu seguridad.
Factores que influyen en el precio
Los diseño de sonrisa precios varían según varios elementos personalizados. Estos son los principales:
- Salud bucal previa
Si hay caries, encías inflamadas u otros problemas, deben tratarse antes, lo que incrementa el coste. - Tipo de tratamiento
Desde un simple blanqueamiento hasta carillas o alineadores, cada técnica tiene un precio distinto. - Materiales usados
Porcelana, resina u otros materiales afectan tanto la estética como el coste final. - Experiencia del profesional
Un especialista con trayectoria o una clínica con tecnología avanzada suele tener tarifas más altas. - Número de dientes tratados
A mayor cantidad de piezas a intervenir, mayor inversión. - Ubicación de la clínica
Los precios varían según la ciudad o país, especialmente en zonas de alto nivel adquisitivo.
Opciones de pago y financiación
Queremos romper la barrera económica que impide a los pacientes poder acceder a un buen diseño de sonrisa. Te presentamos todas nuestras opciones de pago:
- Descuento con pago de contado
- Financiación del 100% hasta 36 meses
- Pago con trajeta de crédito y débito
